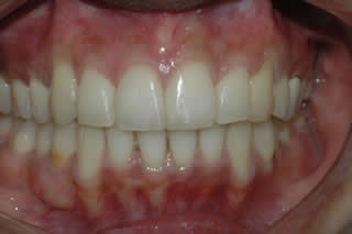
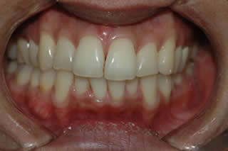
Invisalign:
Invisalign: Clear, Invisible Aligners
Invisalign: www.invisalign.com
Whitening/Bleaching is done after the treatment as well.
All Original Content © 2009 Liberty Square Dental Centre
Web Design © MeduZa - iDesign Press
Web Design © MeduZa - iDesign Press
Mon - Fri 10:00 - 6:30 | Sat - Sun 9:00 - 4:00
libertysquaredentalcentre@yahoo.com | (905) 305-0025
libertysquaredentalcentre@yahoo.com | (905) 305-0025
