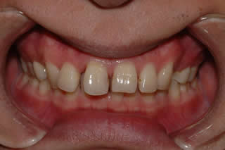
35 year old male:
Class II malocclusion with deep bite, excessive overjet, excessive spaces at maxilary arch with periodontal disease and pathological migration of front teeth.
A combination treatment of periodontal surgery and surgically assisted orthodontics were done.
Surgically assisted orthodontics can speed up the orthodontic treatment time required. A normal case of this extend normally take 3 years to finish. This particular case takes approximately 1.5 years to finish.
All Original Content © 2009 Liberty Square Dental Centre
Web Design © MeduZa - iDesign Press
Web Design © MeduZa - iDesign Press
Mon - Fri 10:00 - 6:30 | Sat - Sun 9:00 - 4:00
libertysquaredentalcentre@yahoo.com | (905) 305-0025
libertysquaredentalcentre@yahoo.com | (905) 305-0025
