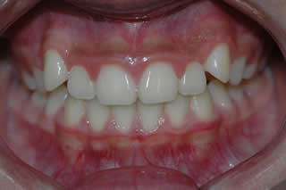
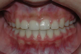
14 year old girl:
This is common condition that upper canines are erupted high up outside due to lack of space.
Orthodontic treatment should be started as early as possible if one wants to complete the treatment without extractions of first premolars.
All Original Content © 2009 Liberty Square Dental Centre
Web Design © MeduZa - iDesign Press
Web Design © MeduZa - iDesign Press
Mon - Fri 10:00 - 6:30 | Sat - Sun 9:00 - 4:00
libertysquaredentalcentre@yahoo.com | (905) 305-0025
libertysquaredentalcentre@yahoo.com | (905) 305-0025
