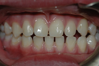
14 year old boy:
This boy presented with unilateral posterior cross bite and generalized spacing.
This case would be easier for both the boy, parents and the doctor if can be started earlier.
All Original Content © 2009 Liberty Square Dental Centre
Web Design © MeduZa - iDesign Press
Web Design © MeduZa - iDesign Press
Mon - Fri 10:00 - 6:30 | Sat - Sun 9:00 - 4:00
libertysquaredentalcentre@yahoo.com | (905) 305-0025
libertysquaredentalcentre@yahoo.com | (905) 305-0025
